Traumatología y ortopedia

Traumatología y ortopedia

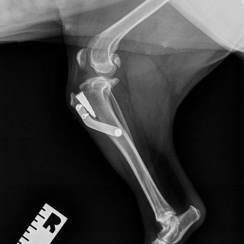
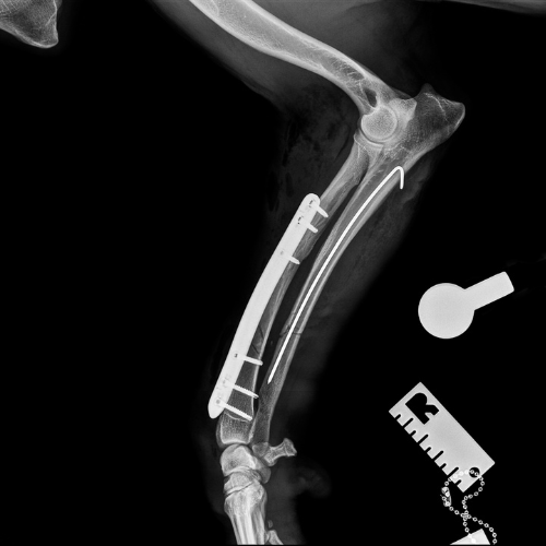
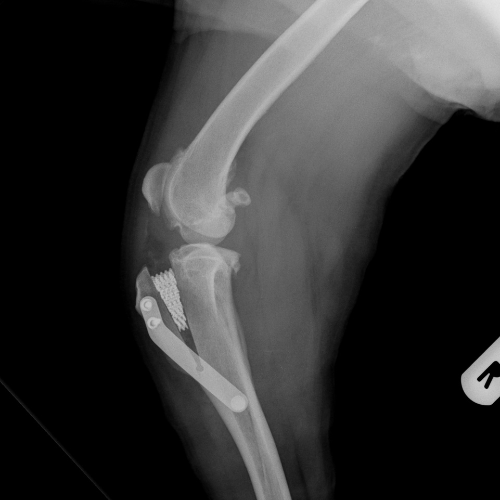
El servicio de traumatología está dirigido por Enrique Senís, especialista en traumatología y ortopedia por la Universidad Complutense de Madrid . Estamos orientados al diagnóstico y tratamiento de patologías del sistema musculoesquelético, incluyendo fracturas, luxaciones, rotura de ligamento cruzado y demás alteraciones articulares y deformidades óseas.

Dirigido por Enrique Senís

Cuidando cada paso

Disponemos de medios diagnósticos avanzados y aplicamos técnicas quirúrgicas de última generación en osteosíntesis, estabilización articular y corrección de deformidades, con el objetivo de restaurar la funcionalidad y minimizar el dolor en nuestros pacientes.

Cada caso es evaluado de manera individualizada para ofrecer el tratamiento más adecuado, garantizando una recuperación óptima y segura.